의료 분야의 카메라
탁월한 정밀도와 성능
현대 기술은 특히 산업용 디지털 카메라를 통해 의료 수준을 크게 향상시켰습니다. 그 결과 의사는 상세 시각 정보를 확보하여 진단 절차, 치료 및 환자 모니터링 작업을 눈에 띄게 개선할 수 있습니다.
의학 분야에서 머신 비전 카메라의 장점
이 백서에서는 다음과 같은 내용을 설명합니다.
머신 비전 카메라가 의료 분야에서 수행하는 역할
의료 분야에서 적합한 카메라를 선택할 때 중요한 기준은 무엇입니까?
의료 분야에서 색상 충실도(Color Fidelity)가 필수적인 이유
산업용 카메라가 의료 서비스를 혁신한 방법
의료 기술에 이미징 카메라가 사용되기 전에는 정확한 진단 정보를 얻기가 어려웠습니다. 예를 들어, 1800년대에는 "탐색 수술"이라는 시술이 널리 사용되었습니다. 즉, 의사는 수술과 같은 침습적 방법을 사용하여 환자의 질환을 진단해야 했습니다. 오늘날에는 이미징 및 비전 기술 덕분에 이러한 프로세스를 보다 쉽게 진행할 수 있는 카메라 기반 진단 장치가 다양하게 출시되어 있습니다.
대표적인 적용 분야:
안과에서의 망막 검사를 위한 안저 카메라혈액이나 소변과 같은 체액 분석을 위한 자동 현미경 검사
장기 및 체강 검사용 내시경
치과에서 구강에 관한 정보를 디지털 방식으로 기록하기 위한 구강 스캐너
피부과에서 이상이 있는 것으로 보이는 피부 부위를 식별하고 추적하기 위한 디지털 피부경
이러한 디바이스는 모두 의료 및 생명 과학 분야에서 진단과 추가 치료에 모두 도움이 될 수 있는 정보를 제공합니다.
의료용 카메라의 주요 이점
카메라가 의료 분야에 제공할 수 있는 이점은 크게 2가지로 요약할 수 있습니다.

문서화
디지털 이미지를 통해 의사는 장치에 부착된 광학 장치로 보는 것보다 관심 영역을 더 쉽게 검사할 수 있습니다. 또한 이미지 데이터에 주석을 달아 의심스러운 영역을 시간에 따라 재확인하고 추적할 수 있는 기능도 제공됩니다. 이러한 모든 이미지와 정보는 디지털 환자 기록에 저장되어 전 세계 의료 전문가들이 접근할 수 있습니다.

이미지 분석
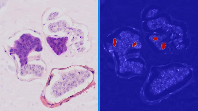
오늘날 종양 진단에서는 여전히 조직 샘플을 제거하고 현미경으로 분석하는 것이 일반적인 방법입니다. 자동 현미경을 사용하면 오브젝트 슬라이드의 이미지를 스캔할 수 있습니다. 그 다음에는 신경망과 같은 최신 이미지 분석 알고리즘을 사용하여 이미지에서 의심스러운 영역을 찾아내고 병리학자에게 분석을 제안할 수 있습니다. 이러한 프로세스는 몇 분 밖에 걸리지 않지만, 전통적인 수동 검사에는 몇 시간이 걸리며 특정 개인에게 의존하게 됩니다.

자동화
이 분야의 발전을 이끄는 두 가지 트렌드가 있습니다. 하나는 (인구 통계적 요인으로 인해) 다양한 진단에 대한 수요가 증가하고 있다는 점이고, 다른 하나는 인건비 상승으로 인해 자동화가 더욱 확산되고 있다는 점입니다.예를 들어 혈액 샘플이 담긴 튜브는 더 이상 실험실 직원이 수동으로 보관하지 않고, 바코드 판독 분류 시스템을 통해 자동으로 아카이브됩니다.

시각화
의료 분야에서 카메라는 다양한 고난이도 이미징 절차에서 "눈" 역할을 합니다. 예를 들어 밀리미터 크기의 내시경 카메라는 신체 내부를 통과하는 디바이스 경로를 기록하고, 형광 물질을 사용하는 수술에서는 외과의가 시술 중에 실시간으로 건강한 조직과 암 조직을 구별할 수 있습니다. 또한 안과 의사는 형광 혈관 조영술을 통해 눈의 혈관 상태를 파악하고, 초분광 카메라는 혈액 공급이 원활한 조직과 그렇지 않은 조직을 식별합니다.
정확한 진단을 위한 성능 요구 사항
진단 프로세스는 많은 경우 카메라 이미지에 직접적인 영향을 받습니다. 이러한 이유로 의료 분야에 사용하도록 설계된 카메라는 뛰어난 성능 요구 사항을 충족해야 합니다.
신뢰성 및 견고성: 산업용 카메라는 지속적으로 유사한 이미지를 제공하기 위해 정밀하게 제조되고 내구성이 뛰어나며 매우 안정적이어야 합니다. 또한 산업용 카메라는 의료 기기 제조업체의 요구 사항을 충족하기 위해 ISO 표준에 따라 제조되어야 합니다.
높은 색 충실도: 진단은 많은 경우 색상 정보를 기반으로 이뤄지므로 카메라는 색상을 디지털 이미지로 정확하게 전송해야 합니다. 모니터에 표시되는 색상은 실제 색상과 일치해야 합니다.
장기 가용성: 진단 디바이스의 인증에는 많은 시간이 소요되기 때문에 카메라는 장기적으로 사용 가능한 상태로 유지되어야 합니다.
정확한 기능 범위: 카메라는 원시 데이터 외에도 요구 사항을 충족하기 위해 색 보간, 색 보정, 선명도 보정 등의 고급 기능을 제공해야 합니다.
의료용 카메라의 적용 분야
디지털 이미지 처리 기술은 질병 연구, 분석, 진단에 있어서 다양한 가능성을 열어줍니다.

안과
이미징 기술은 안과에서 중요한 역할을 합니다. 현대의 OCT 또는 망막 검사를 위한 안저 카메라와 같은 의료용 카메라는 안구 질환의 진단 및 치료 작업을 간소화하고 개선할 뿐만 아니라 치료 방법의 다양성을 증가시킵니다. 정확한 색상 재현, 재현성, 감도, 최적의 속도와 해상도를 갖춘 뛰어난 이미지 품질과 같은 요소는 매우 중요합니다. Basler는 모든 어플리케이션에 적합한 고성능 기술을 제공합니다.

실험실 장비 및 자동화
최첨단 산업용 카메라는 공정 자동화, 품질 관리 또는 바이오 이미징 등 분야를 가리지 않고 의료 진단 실험실 장비의 필수적인 부분으로 자리매김했습니다. 이 카메라는 빠른 속도, 해상도, 신뢰성 및 최상의 이미지 품질을 통해 재현 가능한 분석과 효율적인 샘플 처리량을 제공합니다. Basler의 카메라는 이러한 특성들을 정확히 결합하여 자동화된 실험실 장비에 쉽게 통합할 수 있습니다

현미경 검사
의학 및 생물학 연구부터 재료 과학, 제약 테스트 및 진단에 이르기까지 카메라 기술은 광학 현미경 검사 분야의 이미지 수집 및 처리 작업의 핵심 요소입니다. Basler의 카메라는 실시간으로 최상의 이미지 품질, 뛰어난 색상 재현 및 넓은 다이내믹 레인지를 제공합니다. 또한 당사의 카메라 제품은 가장 미세한 구조도 정확하고 재현 가능한 분석도 지원 가능하며 기존 광학 현미경 검사와 형광 현미경 검사 모두에 적합합니다.

치과
치과에서는 빠른 속도, 최적의 해상도, 감도를 갖춘 고성능 카메라를 기반으로 최신 기술을 사용합니다. Basler의 카메라는 컴팩트한 디자인 덕분에 이러한 기술에 통합할 수 있는 이상적인 조건을 제공합니다.

피부과
피부경 검사에서는 의심되는 피부 변화를 촬영하여 기록합니다. 정확한 평가를 위해 소프트웨어가 이미지를 컴퓨터로 분석하여 지원합니다. 촬영된 이미지의 평가를 위해 중요한 전제 조건은 표준화된 이미지 획득입니다. 당사의 카메라는 조명과 각도 등 다양한 촬영 조건을 보정하여 이를 보장합니다. 이를 통해 장기간 동안 일관된 이미지를 비교할 수 있습니다. 또한, 당사의 카메라는 색상 충실도를 보장하여 환자가 가장 신뢰할 수 있는 진단을 받을 수 있도록 지원합니다.

수술실
수술실에서 사용되는 카메라는 수술대 위 회전형 암에 장착된 소형 장치나 최소 침습 수술을 위한 내시경에 활용됩니다. 이를 통해 환자의 수술을 다양한 각도에서 실시간으로 중계할 수 있으며, 녹화된 영상은 교육 및 상담에 유용하게 사용됩니다. 당사의 카메라는 고해상도와 매우 낮은 고장률로 신뢰할 수 있는 품질을 제공합니다.
의료용 카메라
데이터 보호 및 보안에 집중
의료용 이미지 및 비디오 녹화 영상에는 민감한 환자 데이터가 포함된 경우가 많습니다. 환자의 신뢰, 보호 및 개인 정보 보호를 유지하기 위해서는 의료용 카메라를 사용할 때 반드시 법적으로 엄격하게 의무화된 개인 정보 보호 및 보안 조치를 준수해야 합니다. 이와 관련해 승인받은 액세스 관련 제한, 암호화된 데이터 전송 및 암호 보호와 같은 조치는 매우 중요합니다. 또한 카메라는 정기적인 유지 관리를 통해 안전 위험 없이 정상적으로 작동하도록 해야 합니다. 또한 환자는 데이터 사용 및 저장에 대해 사전에 안내를 받고 이에 대한 동의 의사를 밝혀야 합니다.
의료용 이미지 처리의 미래
머신 비전은 경쟁력 있는 가격과 작은 크기 덕분에 앞으로 점점 더 많은 의료 기기에 통합될 것으로 기대됩니다. 따라서 우리는 각종 의료 시설에서 이러한 고급 디바이스를 점점 더 자주 보게 될 것입니다. 최첨단 센서 기술, 고해상도, 뛰어난 이미지 품질을 결합한 산업용 카메라는 의료 환경에서 매우 유용하게 활용할 수 있습니다.
의료용 이미지 처리 제품
특별 설계된 Basler MED ace 카메라 시리즈와 맞춤형 머신 비전 솔루션 개발 경험을 통해 최적의 혜택을 누리세요.
